ORTOPEDİK ONKOLOJİ NEDİR?
Onkoloji bilindiği üzere tümörlerle ilgilenen bilim dalıdır. Ortopedik onkoloji ise ortopedik tümörlerle ilgilenir. Peki bu ne demek? Ortopedik onkoloji vücudumuzda kol, bacak gibi ‘ekstremite’ tabir ettiğimiz bölgelerdeki, ayak bileği, diz, kalça, dirsek, omuz gibi eklemlerdeki ve omurganın bazı bölgelerindeki tümörlerle ilgilenir.
Tümör kavramı halk arasında genellikle kanser olarak algılanmakta. Ancak bu durum pek de doğru değil. Tıbbi olarak vücutta oluşan her tür şişliğe aslında tümör denir. Bunun içinde malign yani kötü huylu tümörler olabileceği gibi benign yani iyi huylu tümörler de yer alır. Ortopedik onkolojide kötü huylu tümörler kanser olarak değil “sarkom” olarak adlandırılır. Kanserler ise akciğer, mide, prostat gibi iç organların kötü huylu tümörleridir. Ortopedik onkoloji sarkomların teşhis ve tedavisiyle ilgilenir. Bir sarkom kemikten kaynaklanabileceği gibi adalelerimizden, yağ dokumuzdan, damar ve sinirlerimizden de kaynaklanabilir. Birincisi ‘kemik sarkomu’ olarak adlandırılırken diğerleri ise ‘yumuşak doku sarkomu’ olarak adlandırılmaktadır. İç organ kanserleri bazen kemiklere yayılabilir ve “metastaz” adını alır. Metastazlar çoğu zaman birkaç ayda ortaya çıkan son derece ağrılı oluşumlardır. Ağrının şiddeti gittikçe artar. Ortopedik onkoloji metastaz tedavisi ile de ilgilenir.
Kemik sarkomlarının da alt grupları vardır. Bunların bazıları çocuk ve gençlerde daha sık gözlenirken bazıları ise daha ileri yaşlarda gözlenmektedir. Bunların tedavileri de farklı farklıdır. Örneğin osteosarkomda ameliyat öncesinde hastaya bir süre “kemoterapi” dediğimiz ilaç tedavisi uygulanırken bunu takiben ameliyat yapılır ve bundan da sonra yeniden kemoterapi uygulanır. Ancak Ewing sarkomu söz konusuysa kemoterapinin yanında radyoterapi de tedaviye dahil olabilir. Daha ileri yaşlarda daha sık karşılaştığımız kondrosarkom tedavisinde ise elimizdeki tek silah ise çoğu zaman ameliyat olmaktadır.
Resim 3
Resim 4
Sarkom ameliyatları son derece zordur ve titizlikle planlanmalıdır. Bu amaçla kullanılan teknik genellikle “geniş rezeksiyon” olmaktadır. Burada söylenmek istenen; tümörlü dokunun, etrafında sağlam bir doku bırakılarak geniş olarak çıkartılmasıdır (resim-3). Eğer ameliyat sırasında sarkomlu dokuya çok yakın çalışılır yada bu dokunun içine girilirse habis doku yeniden ve hızla büyüyerek karşımıza çıkacak ve bir sonraki tedaviyi çok zor, hatta bazen imkansız kılabilecektir (resim-4). Bu çok ciddi bir durum olup hastanın yaşamına mal olabilir.
Resim 5
Resim 6
Resim 7
İyi huylu kemik tümörleri ise daha çok kemik kistleri, kıkırdak kökenli bazı tümörler yada dev hücreli kemik tümörü gibi bir takım lezyonlardır. Kistler basit olabileceği gibi kompleks de olabilir. Basit kemik kistleri daha çok çocuklarda görülür. En sık bölge omuz çevresi olmakla beraber her kemikte ortaya çıkabilir (resim-5). Basit kemik kistinin tedavisinde bazı durumlarda ameliyat gerekirken bazen de ameliyatsız tedavi uygulanabilir. Bunun için hastaya ameliyathane şartlarında kist içine enjeksiyon uygulanır ve bunu birkaç kez tekrarlamak gerekebilir (resim-6). Kompleks kist ile anlatılmak istenen ise “anevrizmal” kemik kistidir. Bunun tedavisi sadece cerrahi olup kist temizlendikten sonra içi bir takım özel maddelerle muamele edilmelidir. Oluşan boşluk kemik çimentosu yada kemik tozlarıyla doldurulur (resim-7). Anevrizmal kemik kisti basit kemik kistine göre daha saldırgan bir lezyon olup bazen kemiği tamamen ortadan kaldırabilir. Bunda nüks olasılığı da daha fazladır.
Kemik sarkomlarının da alt grupları vardır. Bunların bazıları çocuk ve gençlerde daha sık gözlenirken bazıları ise daha ileri yaşlarda gözlenmektedir. Bunların tedavileri de farklı farklıdır. Örneğin osteosarkomda ameliyat öncesinde hastaya bir süre “kemoterapi” dediğimiz ilaç tedavisi uygulanırken bunu takiben ameliyat yapılır ve bundan da sonra yeniden kemoterapi uygulanır. Ancak Ewing sarkomu söz konusuysa kemoterapinin yanında radyoterapi de tedaviye dahil olabilir. Daha ileri yaşlarda daha sık karşılaştığımız kondrosarkom tedavisinde ise elimizdeki tek silah ise çoğu zaman ameliyat olmaktadır.
Resim 8
Resim 9
Kemiğin içinde kıkırdak kökenli tümörler de gelişebilir. Bunların bazıları küçük olup tedavi değil ama takip gerektirir. Bazıları ise daha büyük olur ve ameliyat ile tedavi edilmeleri gerekir. Enkondromlar kıkırdak kökenli kemik tümörleridir. Yani kemiğin içinde gelişen kıkırdağımsı tümörlerdir. (resim-8)
Düşük olasılıkla malign dönüşüm gösterebilme olasılıkları da vardır. Zaman zaman künt ağrılara neden olabilirler. Bu durumda ameliyatla temizlenmeleri gerekir. Enkondromlar ayrıca el kemiklerinde en fazla görülen tümörlerdir. Hasta bunun çoğu zaman farkında olmayabilir. Kemiğin içinde gelişip ‘korteks’ dediğimiz kemik duvarlarını aşırı derecede inceltebilir. Bu durumda çok basit bir travmayla bile kemikte kırık meydana gelebilecektir. Bazen ameliyatsız iyileşme olabileceği gibi bazen de ameliyat endikasyonu doğar. (resim-9)
Resim 10
Resim 11
Resim 12
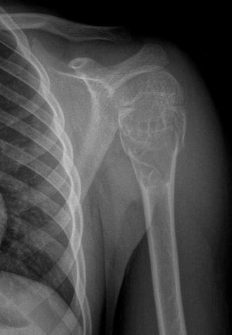
Dev hücreli kemik tümörü de gençlerde daha sıktır. Bu tarz bir tümör en fazla dizde görülmekle beraber vücudun her yerinde ve özellikle eklem bölgelerinde kemiğin içinde oluşur (resim-10). Genellikle son birkaç aydır hissedilen künt ağrı şeklindedir. Tedavisi sadece ameliyat ile yapılabilir. Tümör tamamen kemikten uzaklaştırılır ve boşluk ise kemik çimentosuyla yada kemik tozlarıyla doldurulur (resim-11). Tümörün temizlenmesi işlemi tam olarak yapılmazsa nüks kaçınılmazdır.
Osteoid osteom ise kemiğin içinde yer alan ve 1 cm’yi geçmeyen küçük lezyonlardır. Çok küçük olmalarına rağmen çok şiddetli ağrı yapabilir. Ağrı özellikle geceleri daha fazla olur. Tümör çok küçük olduğu için radyolojik değerlendirmede gözden kaçırılabilir. Bu nedenle tanıyı koyabilmek için değerlendirme çok dikkatli yapılmalıdır (resim-12). Bu tümör de çocuklarda yada gençlerde daha sıktır. Tedavisinde önceleri cerrahi yöntemler kullanılmışken günümüzde daha çok radyofrekans gibi kapalı metodlarla cerrahi dışı yöntemler benimsenmiştir.
Resim 13
Resim 14
Osteokondromlar ise en fazla diz çevresinde olmak üzere eklemlerin etrafından, kemiğin kenarından adele içine doğru büyüme gösteren sert kemiksi çıkıntılardır. Bunlar genellikle çocukluk çağında fark edilip çocukla beraber büyür (resim-13). Ancak çoğu zaman ameliyat gerektirmeyip gözlem yeterlidir. Bazen ciddi büyüme gösterip dışarıdan bakıldığında çok belirgin olur ve bu durum kozmetik problem yaratabilir. Yada bu kemik çıkıntı basit bir travmayla kırılabilir ve şiddetli bir ağrıya neden olabilir. Bazen de damar yada sinire baskı yapacak şekilde büyüyebilir. Bu durumlarda ameliyatla çıkarılması gerekir (resim-14).
Resim 15
Resim 16
Resim 17
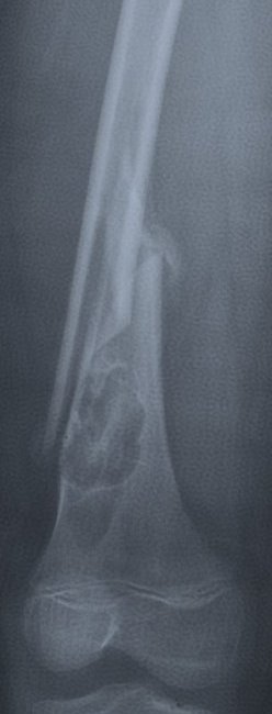
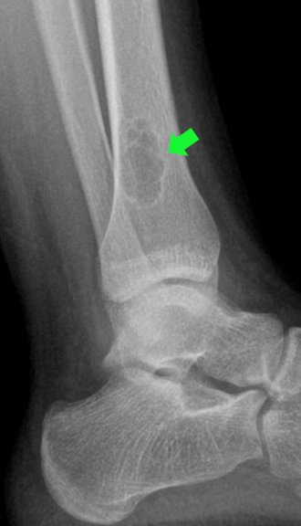
Kemiğin duvarından gelişebilen iyi huylu bir tümör de “fibröz kortikal defekt”tir. Nadiren ağrı yapar yada kemiğin duvarını zayıflatabilir. Çoğu zaman başka bir nedenle çekilen röntgende tesadüfen saptanır (resim-15). Büyük oranda ameliyat gerektirmez ve kendiliğinden iyileşme gösterir. Ancak fazlaca büyüyüp kemiğin büyük kısmını etkilemişse ameliyatla temizlenmesi gerekir. Aksi halde “patolojik kırık” dediğimiz kemiğin aşırı zayıflamasına bağlı kırık durumu gelişebilecektir (resim-16). “Non-ossifiye fibrom” içinde benzer şeyler söylemek mümkündür (resim-17).
Patolojik kırıklar her kemik tümörü zemininde gelişebilir. Kemik duvarlarının tümör nedeniyle aşırı zayıflaması nedeniyle ortaya çıkar. Kemik sarkomlarında meydana gelirse tedavi çok zorlaşır. Çünkü bu durumda kötü huylu olan tümör hücreleri her yöne yayılır ve olay çok daha kompleks bir hale gelir. İyi huylu kemik tümörlerinde de aynı durum gözlenebilir. Bu durumda da tedavi daha kompleks hale gelecektir.
Sebepleri ve Koruma
Ortopedik onkolojinin alanına giren tümörler sadece kemiklerden kaynaklanmaz. Aynı zamanda kas, damar, yağ dokusu, sinir ve eklem gibi yumuşak doku elemanlarından da köken alabilir. Örneğin kol ve bacakta yada vücudun diğer bölgelerinde gözle görülebilen yada dokunmakla hissedilebilen kitleler şeklinde olabileceği gibi bazen dışarıdan hissedilemeyecek şekilde derin yerleşimli ve yumuşak doku kökenli lezyonlar şeklinde de olabilir. Bu gibi lezyon varlığında kemik tümörlerinde olduğu gibi biyopsi yapılması temeldir. Bu şekilde doğru tanı konabilir. Tanıyı doğru koymadan tedaviye asla geçilmemelidir.
Resim 18
Resim 19
Yumuşak doku tümörleri de kemik tümörlerinde olduğu gibi iyi huylu yada kötü huylu olabilir. Kötü huylu olanları gene kemik tümörlerinde olduğu gibi “sarkom” olarak adlandırılır. Ancak bu, yumuşak doku sarkomudur. Yumuşak doku sarkomlarının tedavisi çoğu zaman cerrahidir ve geniş rezeksiyon gerektirir. Ameliyatta geniş rezeksiyon yapılarak tümör, etrafında sağlam doku ile birlikte geniş olarak çıkartılır (resim-18).
Bazen bir sarkom, damar yada sinir yapılarına çok yakın olabilir. Hatta bazen bu gibi önemli yapılar tümörün içinden geçebilir. Bu durumda bu yapılar kesilerek feda edilir ve tümörle beraber çıkarılır. Bu hastalara aynı seansda damar yada sinir nakli yapmak da gerekecektir. Bu operasyon sırasında geride tümörlü doku kalırsa nüks kaçınılmaz olur. Bunun cerrahisi ise daha da zor olacaktır.
İyi huylu yumuşak doku tümörlerinin tedavisi ise genel olarak daha basittir. Bunların tedavisi de cerrahidir. Ancak kitle küçükse, yada uzun yıllardır varsa ve hastayı rahatsız etmiyorsa ameliyat gerekmeyebilir. “Hemangiom” denen ve damarsal yapılardan kaynaklanan tümörler için de aynı şey söylenebilir. Hemangiomlar çoğu zaman operasyon gerektirmez. İzlem yeterli olur (resim-19).
Görüntüleme
Kemik tümörlerinde direkt röntgenografi çok önemlidir. Bu yöntem ucuz ve basittir. Ancak tümör hakkında ciddi bilgiler verir. Mutlaka iki yönlü röntgenler çekilmelidir (resim-26).
Bilgisayarlı tomografi de özellikle osteoid osteom gibi kemik tümörleri için anlamlıdır (resim-27). Bu tümör için tek başına bile tanı koydurucu olabilmektedir. Ancak günümüzde diğer tümörler için kullanımı sınırlıdır.
MR yani manyetik rezonans görüntüleme ise ortopedik onkolojide çok önemli bir yer tutar. MR özellikle yumuşak dokuların gösterilmesinde çok anlamlıdır. Yumuşak doku komponenti olan kemik tümörlerinde ve her türlü yumuşak doku tümöründe en fazla kabul gören metoddur. Öte yandan çekimler doğru bir şekilde yapılmalıdır. Aksi halde hastanın birkaç kez MR çektirmek zorunda kalması kaçınılmazdır. Bu durum ise zaman kaybı demektir. Özellikle malign kemik tümörlerinde tüm kemik görülecek şekilde MR’ının çekilmesi büyük önem taşır (resim-28). Yeterli kalitede MR çekilene kadar hastaya müdahale edilmemelidir.
Resim 29
Resim 30
PET-CT ise günümüzde kullanımı artan, çok gelişmiş bir görüntüleme metodudur. Vücutta nerelerde kitle olduğu ve bunların iyi yada kötü mü oldukları hakkında fikir verir (resim-30).
Sonuç olarak hasta değerlendirildikten ve gerekli görülen görüntüleme metodları tamamlandıktan sonra biyopsi işlemi de yapılarak kesin tanıya gidilir ve böylelikle doğru tedaviye de geçilebilir.
Biyopsi
Resim 31
Tümör tanısının konmasında biyopsi temel yaklaşımdır. Ortopedik onkoloji için de aynı durum söz konusudur. Biyopsi aslında bir cerrahi girişimdir ve her zaman steril şartlarda yapılmalıdır. Uygun olan, asıl ameliyatı yapacak cerrahın biyopsiyi yapmasıdır. Biyopsi temelde iki şekilde olur: açık yada kapalı. Kapalı biyopsiden kastedilen iğne biyopsisidir. Bu amaçla özel bir takım iğneler kullanılır (resim-31). Eğer yüzeyel bir yumuşak doku kitlesi söz konusuysa yada kemiği aşıp yumuşak dokuya uzanım gösteren bir kemik tümörü varsa (osteosarkom yada Ewing sarkomu gibi) iğne biyopsisi uygundur. Yumuşak dokuya uzanım göstermeyen ancak kemik duvarını incelten bir tümör söz konusuysa da (dev hücreli kemik tümörü gibi) iğne biyopsisi uygulanabilir. Ancak bunların iğneleri farklı farklıdır. Derin yerleşimli bir kitle yada önemli damar yada sinirlere çok yakınlık gösteren bir tümör söz konusuysa girişimsel radyoloji tarafından ultrason yada bilgisayarlı tomografi altında iğne biyopsisi yapılabilir.
İğne biyopsisini yapan kişinin ve bunu değerlendirecek olan patoloğun da yeterince deneyimli olması gerekir. Aksi halde uygun materyal alınamayacağı gibi uygun bir değerlendirme de yapılamayacaktır. Tedavinin doğru yapılabilmesi için bu işlemlerin doğru bir şekilde yapılması gerekmektedir.
İğne biyopsisi yapılamıyorsa yada bundan sonuç alınamıyorsa açık biyopsi yapılır. Bunun cerrahisi de zor ve karmaşıktır. Ancak tanı açısından oldukça etkili bir yöntemdir.
Biyopsi mutlaka tüm görüntüleme yöntemleri bitirildikten sonra yapılmalıdır. Aksi halde kitlenin uzanımı ve boyutları hakkında yanlış fikir yürütülebilir.
Tümörlerin Belirtileri Nelerdir ?
Resim 32
Yumuşak doku tümörleri için eğer kitle yüzeye yakınsa yada çok büyükse gözle görülebilen bir şişlik olur. İyi huylu olanlarında genellikle ağrı yoktur. Çoğu zaman yıllardır süre gelen kitleler şeklindedirler (resim-32). Ancak zaman içinde bazen iyi huylu bir tümör, kötü karakter kazanmaya başlayabilir. Bu durumda kitlede ağrı meydana gelebilir. Yada kitlede yıllarca hiçbir büyüme olmamışken son aylarda belirgin bir büyüme söz konusu olabilir.
Resim 33
Kötü huylu olan yumuşak doku kitleleri ise genellikle normal olan bir bölgede son birkaç aydır belirginleşen bir şişlik şeklindedir. Hızla büyümekte ve zaman zaman ağrılı da olabilmektedir. Böyle bir lezyon bazen aşırı büyüme gösterebilir (resim-33). Tanı ve tedavi açısından hızlı davranılmasını gerektirir. Kötü huylu bir tümör çoğu zaman kolda yada bacakta çok önemli damar yada sinirlerle temas halindedir yada bunları da ele geçirmiştir. Ameliyat yapılacağı zaman bu durum bilinmeli, hasta bilgilendirilmeli ve ameliyata uygun ekip ve ekipmanla girilmelidir. Ameliyattan önce bütün bunların organizasyonu eksiksiz yapılmalıdır.
Resim 34
Kemik tümörlerinin belirtileri ise çoğu zaman geceleri de olan, hatta bazen çok şiddetli olabilen künt ağrılar şeklindedir. Yani dizi yada kalçası birkaç aydır ağrıyan bir kişide problem kemik tümörü olabilir. İyi huylu kemik tümörleri çoğu zaman kemiği aşamaz. Kötü huylu olanlar ise çoğu zaman aşar ve kemiğin etrafındaki yumuşak dokuya uzanım gösterir. Bu hastalarda yumuşak doku tümörlerinde olduğu gibi bir şişlik söz konusu olacaktır (resim-34). Ayrıca kemik bu bölgede çok zayıflamıştır. Hasta yüklenmeye devam ederse ayrıca kemikte bir kırık da meydana gelebilecektir. Bu patolojik kırıktır ve tedaviyi çok daha fazla güçleştirir. Hatta bazen uzvun kaybedilmesine bile neden olabilir.
Tedavisi
Resim 20
Resim 21
Halk arasında ‘yağ bezesi’ olarak adlandırılan ise “lipom”lardır. Lipomlar yağ dokusundan köken alır. Genellikle cilt altı yağ dokusu ve adeleler arasından kaynaklanır (resim-20). Birkaç yıldır mevcut olan yumuşak, hareketli, düzgün sınırlı kitleler şeklindedir. Ancak bazen malign değişim göstererek sarkoma dönüşebilir. Bunun adı ise “liposarkom”dur (resim-21). Lipomlar bazen vücutta çok sayıda olur. Bunun adı “lipomatozis”dir. Lipom tedavisi cerrahidir. Eğer çok büyük, kişiyi rahatsız eden, damar yada sinir basısı sonucu fonksiyonları bozan lezyonlar şeklindeyse operasyonla çıkarılır. Eğer bunlar yoksa sadece izlem yeterli olabilmektedir.
Resim 22
Resim 23
Bazen iyi huylu bir yumuşak doku tümörü sinirden de kaynaklanabilir. Kolda yada bacakta ele gelen bir kitle şeklinde olabildiği gibi hangi sinirden kaynaklandığına bağlı olmak üzere uyuşma yada karıncalanma gibi semptomlar da verebilir. Örneğin elinde ve parmaklarında uyuşma olan bir hastada kol sinirlerinden birinde böyle bir tümör yer alabilir. Bu tümörler “schwannoma” yada “nörofibroma”lardır (resim-22). Büyük ve semptom vermeleri halinde sinir tümörlerinin tedavisi cerrahidir. Bu işlem sırasında sinire mümkün olduğunca zarar vermeden kitlenin çıkarılması gerekir. Bunların kötü huylu olanları ise “malign sinir kılıfı tümörü” olarak adlandırılır (resim-23). Bunun tedavisinde sinirin kesilerek feda edilmesi gerekir. Sinirin tümörlü olan kısmı kesilerek çıkarılır ve aradaki boşluk ise başka bir sinirin nakli ile telafi edilir.
Resim 24
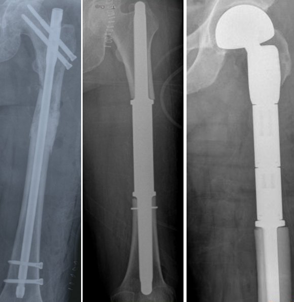
Şimdiye kadar anlattıklarımız kemik yada yumuşak dokunun kendisinden primer olarak kaynaklanan lezyonlardı. Metastazlar ise vücutta var olan kanserli bir dokudan (ör: akciğer kanseri, meme kanseri, böbrek kanseri yada prostat kanseri gibi) ayrılan kötü huylu hücrelerin kan yolu ile kemiklere gelmesi ve burada kitleye neden olmasıdır. Metastazlar genellikle orta-ileri yaş grubunun rahatsızlıklarıdır. Burada hasta büyük oranda kanser olduğunu zaten biliyordur yada kanser tedavisi almaktadır. Örneğin akciğer kanseri olduğu bilinen bir hastada son zamanlarda başlamış olan kalça, bacak , omuz, dirsek yada bel ağrıları ön planda metastaz oluştuğunu akla getirir (resim-24). Metastazlar hızlı ilerleyen kötü huylu lezyonlardır. Tedavileri çabuk şekilde yapılmalıdır. Aksi halde şiddetli kemik ağrıları ortaya çıkar ve sonunda patolojik kırık meydana gelmesi kaçınılmaz olur. Bu durumda tedavi daha da güçleşecektir.
Resim 25
Kemik metastazlarının tedavisinde radyoterapi yada cerrahi tedavi ön plandadır. Eğer hastada patolojik kırık yada patolojik kırık tehditi yoksa radyoterapi tek başına yeterli olabilir. Ancak patolojik kırık gelişmişse yada kırık gelişmek üzereyse (patolojik kırık tehditi) cerrahi uygulanmalıdır. Amaç, hastanın ağrılarını dindirmek ve bir an önce günlük aktivitelerini kazandırarak hayata geri döndürmektir. Ameliyatta tümörlü alan çıkartılır ve oluşan kemik defekti ise implant kullanılarak giderilir (resim-25)..
Multidisipliner Yaklaşım
Ortopedik onkoloji bilimi, konu ile uğraşan ortopedistin, malign tümörü olan hastaya en fazla faydayı sunabilmesi için diğer pek çok alanla sürekli olarak dirsek teması içinde olmasını gerektirir. Bu, multidisipliner yaklaşımın temelidir. Bu bir takımdır. Bu takımda onkoloji ile ilgilenen ortopedistten başka temel olarak patolog, radyolog, radyasyon onkoloğu, medikal onkolog, pediatrik onkolog, bazen göğüs cerrahı, damar cerrahı ve plastik cerrah yer alır.
Uygun hastada uygun branşlar beraber çalışırsa en iyi sonuç alınabilir.
En iyi sonucu alabilmek için hastayı yeterli süre dinlemek, muayene etmek, görüntülemelerini çok iyi değerlendirmek ve bir an önce ilgili bölümlerce konsülte ettirmek büyük önem taşır.
Multidisipliner yaklaşım daha çok kötü huylu olan kemik yada yumuşak doku tümörleri için söz konusudur. Benign tümörlerde ise ortopedik onkolog tek başına çalışabilir. Burada da yeterli deneyim çok önem taşır.
Özet
Ortopedik onkoloji son derece özel bir alandır. Bu alanda çalışacak hekimin kendisini çok iyi yetiştirmiş olması, ilgili branşlardaki doktorlara rahatça ulaşabilmesi ve konusunda yeterli deneyime sahip olması büyük önem taşır. Aksi halde tedaviyi doğru yapabilmek imkansızdır. Bu durumda hasta bazen uzvunu bazen de maalesef hayatını kaybeder.
Dil
Türkçe
English
Arabic
Germany
Russian